専門分野のご紹介
歯科インプラント
歯科インプラントおよび補綴前処置
近年、歯科インプラントを用いての喪失した歯の審美的•機能的回復をはかる治療が急速に普及しています。当科でも1995年から積極的に歯科インプラント手術やインプラント埋入前の骨移植術などを行ない、良好な成績を残しております。

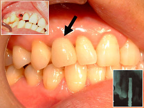
47歳女性:右側上顎犬歯を歯科インプラントで治療した写真
また地域開業歯科医院、病院歯科口腔外科とも密に連携をとりながら萎縮した顎骨への骨移植、仮骨延長術などの骨造成術をはじめ、インプラント手術前のCT診断、インプラント体の顎骨への埋入手術などを行なっています。

19歳女性:左側上顎犬歯部に自家骨移植により骨を回復した写真
口腔外傷、口唇口蓋裂、口腔腫瘍など口腔外科疾患術後の喪失した咬合機能回復のための歯科インプラント治療を行なっています。


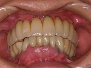
52歳女性:外傷後の上顎全部に自家骨移植を行いインプラント治療を行った症例(当院補綴科との連携症例)。









