専門分野
口唇口蓋裂の一貫治療
顎変形症(受け口、下顎前突、上顎前突、開口症)
顎関節疾患
歯科インプラント
口腔腫瘍
外傷(口腔内外の裂傷、歯牙の脱臼、顎の骨折など)
親不知(おやしらず)の抜歯
専門分野のご紹介
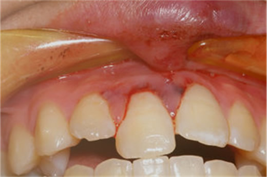
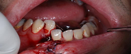
外傷(口腔内外の裂傷、歯牙の脱臼、顎の骨折など)
歯、口、顎、顔面の外傷(口の内外の裂傷、歯の脱臼や脱落、顎の骨折など)に対して開口障害や咀嚼障害などの機能障害を残さず、また歯並びや顔面の審美性を考慮して適切な治療を行っています。
下顎骨骨折
歯の不完全脱臼